Dentisterie Esthétique

Alignement Dentaire

Les gouttières dentaires transparentes sont des appareils orthodontiques destinés à corriger l’alignement de vos dents, ouvrir l’espace pour un implant et améliorer la position des dents avant un traitement prothétique. Ils consistent en une série de gouttières sur-mesure, transparentes et amovibles réalisées à partir d’empreintes numérique Ces gouttières sont destinées à appliquer des forces mécaniques douces afin de corriger les défauts de votre dentition.
Grace à un dispositif qui passe presque inaperçu dans votre quotidien, vous pouvez constater le changement jour après jour. Ce dispositif amovible facilite grandement l’hygiène bucco-dentaire par rapport aux bagues métalliques.
Nous avons choisi un dispositif mondialement connu leader actuellement avec plus de 8 millions de patients traités dans le monde. Nous pourrons vous garantir un résultat fiable et qui correspondra à vos attentes.

aligneurs transparents
aligneur invisalign

Eclaircissement

Le blanchiment dentaire est une technique simple qui permet d’éclaircir les dents grâce à l’application d’un gel à base de peroxyde d’hydrogène ou de peroxyde de carbamide. Afin de maintenir le gel sur la dent plusieurs heures d’affilées, il est appliqué à l’aide de ce que l’on appelle une « gouttière » à placer sur les dents.

Mais est-ce toujours efficace ?

Contrairement à la vente libre et aux « bars à sourire » qui sont limités à des produits ne dépassant pas 0,1% de peroxyde d’hydrogène, les chirurgiens-dentistes disposent de gels concentrés à 6%. Une différence qui explique que seuls les traitements effectués en cabinets dentaires ont une réelle efficacité.

Ce type de produits d’éclaircissement a, en réalité, été classé en 2 groupes :

  • L’un est désigné désormais comme produit cosmétique et est réservé aux éclaircissements externes sur dent vitale. C’est le traitement qui est effectué avec des gouttières et limité à 6%.
  • L’autre, considéré comme un dispositif médical, permet d’utiliser des pourcentages supérieurs à 6%, dans le cas des dents dévitalisées. Le traitement est alors très différent. On se sert de la cavité préparée pour faire la dévitalisation et on y dépose du gel également à base de peroxyde d’hydrogène mais à des concentrations pouvant aller jusqu’à 35 voire 40%.

Sur le sujet des concentrations, il faut cependant savoir que si l’on utilise des produits à base de peroxyde de carbamide, le pourcentage autorisé est alors de 16% car le peroxyde de carbamide se décompose, en gros, en 1/3 de peroxyde d’hydrogène.

Avant 2012, lorsque l’on utilisait des produits beaucoup plus concentrés pour les éclaircissements sur dents vitales, on pratiquait plus souvent les soins au fauteuil. Désormais, les séances au fauteuil ont moins d’intérêt. Le traitement se fait quasiment uniquement en ambulatoire, chez soi, avec les gouttières surmesure fabriquées au cabinet dentaire.

Y a-t-il des effets secondaires problématiques pour le blanchiment dentaire ?

Le principal problème est l’hypersensibilité, c’est pourquoi il est important de procéder à un contrôle. Il doit s’assurer que le patient ne présente pas de restaurations dentaires qui ne soient pas étanches et qu’il n’ait pas de caries évolutives.

Il faut aussi vérifier que le patient n’a pas de maladies parodontales. Il y aurait à nouveau un risque important d’hypersensibilité pulpaire au produit. Là encore, il faudrait suspendre le traitement. Les gouttières thermoformées sur mesure délivrées par le chirurgien-dentiste permettront en outre d’éviter le débordement du gel sur les gencives, ce qui peut être très douloureux, un peu comme une brûlure.

Si on est sujet à des hypersensibilités durant le traitement, il faut le stopper ?

Il faut prévenir son chirurgien-dentiste. Le traitement ne sera pas forcément arrêté définitivement et le praticien peut proposer de l’adapter. La plupart du temps, on porte la gouttière avec le gel durant la nuit pendant en général 1 semaines. S’il y a une hypersensibilité lors du traitement, on peut préconiser une alternance, ou de diminuer un peu la durée journalière du port de la gouttière. Il arrive cependant que cela soit trop douloureux pour le patient et qu’il faille arrêter le traitement. Il n’y a en revanche aucun risque de toxicité.

Les facettes

Les facettes permettent de corriger la couleur des dents , leur forme (dents usées, cassées, trop courtes…) et les malpositions légères (petits chevauchements, espaces interdentaires…). « Les facettes sont de fines pellicules de céramique qui se collent sur les incisives et les canines, voire les prémolaires, pour améliorer leur apparence esthétique »,

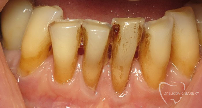
Facettes réparatrice avant

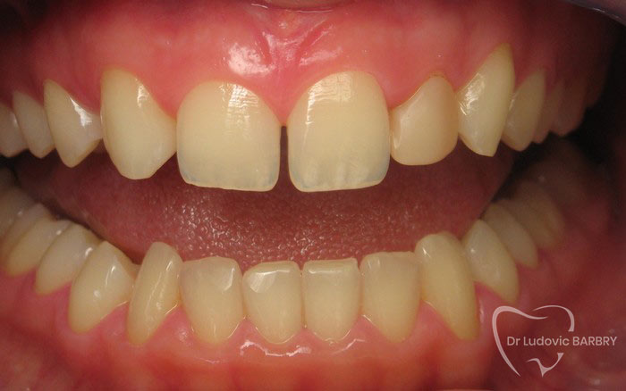
après

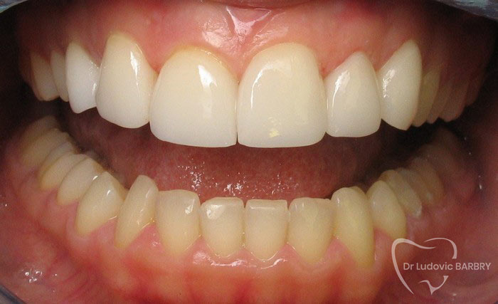
Facettes esthétique

après

Injection d'acide Hyaluronique

Si vous désirez combler vos rides et vos plis autour de votre bouche ou si vous voulez améliorer le profil de vos lèvres, il existe une méthode que votre dentiste maîtrise parfaitement : l’injection d’acide hyaluronique.

En effet, l’acide hyaluronique est présent naturellement dans l’épiderme et le derme. Il sert à maintenir un bon niveau d’hydratation de la peau car il possède une forte capacité de rétention d’eau.

Les gels d’acide hyaluronique utilisés en esthétique sont obtenus pas biotechnologie. Ils sont synthétisés par une bactérie génétiquement modifiée. On obtient ainsi un acide hyaluronique totalement biocompatible.