Les principaux types de malocclusions dentaires

Il existe de nombreuses pathologies à traiter en dentisterie, nous allons vous les présenter un à un pour vous aider à trouver ce qui ressemble le plus à votre cas

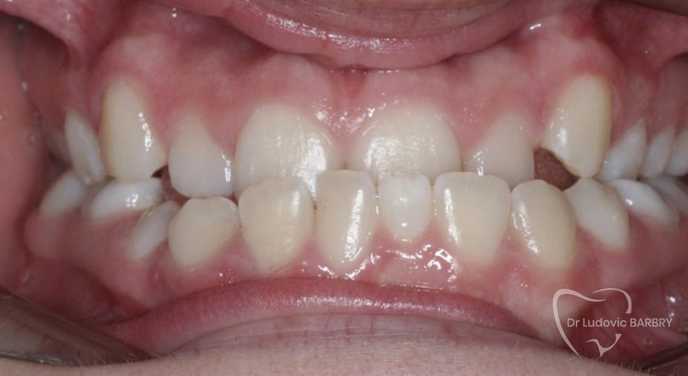
Le Chevauchement

Le Diastème

La Béance

La classe II

La classe III

La Supraclusion

L'Agénésie

Les Dents Incluses