Dentisterie Générale

Détartrage

Quelle-est la différence entre la plaque dentaire et le tartre ?
« Il ne faut pas confondre la plaque dentaire et le tartre. Il ne peut pas y avoir de tartre sans plaque dentaire ».
La plaque dentaire ( ou plaque bactérienne) est un dépôt mou, blanchâtre qui se dépose à la surface des dents. Elle peut être éliminée grâce à la brosse à dents. Pour une meilleure élimination, la plaque dentaire qui est difficile à voir car blanche comme les dents peut être mise en évidence avec un colorant appelé « révélateur de plaque dentaire ».
Demandez-nous une ordonnance de ce produit pour améliorer votre hygiène dentaire.
Il est important de se brosser les dents au moins deux fois par jour avant que la plaque dentaire devienne nocive.
Progressivement la plaque dentaire se minéralise, en incorporant des sels de phosphate de calcium de la salive. Ceci donne naissance au tartre.
Le tartre n’est pas naturellement coloré. Son état de surface favorise également l’accumulation des colorations inesthétiques du café, thé, tabac…
Seul votre chirurgien-dentiste pourra l’éliminer le tartre grâce au détartrage, et les coloration grâce à un aéropolissage.

Caries

Quels sont les facteurs responsables de la formation de la carie?

Un brossage régulier et efficace permet d’éliminer la plaque dentaire et d’éviter les caries.

Lorsque les 3 facteurs suivants coexistent, il y a un risque de carie pour les dents :

  • Les bactéries de la plaque dentaire.
  • Le terrain propre à chaque individu.
  • L’alimentation.

1- La plaque dentaire ou plaque bactérienne : certaines bactéries transforment les sucres en acides (qui attaquent l’émail des dents) et s’infiltrent au cœur de la dent.

2- L’alimentation : les sucres sont présents partout! Attention aux :

  • Bonbons
  • Biscuits apéritifs
  • Chips- pop corn …
  • Au biberon ou au bonbon du soir qui calment les enfants!

Les aliments riches en acides peuvent endommager également l’émail des dents :

  • Jus de fruits
  • Sodas
  • Colas
  • Ketchup

Les grignotages continuels non accompagnés d’un bon brossage sont dangereux pour vos dents!

3-Le terrain : tous les individus n’ont pas le même le risque à former des caries. Certains facteurs locaux empêchent une bonne élimination de la plaque dentaire au brossage :

  • La forme de certaines dents.
  • Des malpositions dentaires.
  • D’anciens « plombages » ou couronnes mal ajustés favorisant la rétention de débris alimentaires et de la plaque dentaire.
  • Un émail fin, fragile.

Extractions

Consulter son chirurgien Dentiste, Je suis contre les extractions, sauf en cas de force majeure.

Ma vocation est de sauver vos dents

Composites

Inlay / Onlay céramique

Les inlays et les onlays sont des alternatives aux plombages ou aux résines de volume important. Il s’agit d’une technique moderne d’obturation qui permet d’éviter une prothèse beaucoup plus mutilante pour la dent et préserve l’intégrité de la dent en évitant les récidives de caries.

Cette pièce en céramique est fabriquée sur mesure et posée dans la séance grâce aux techniques modernes de CFAO (conception et fabrication assisté par ordinateur) que nous disposons au sein du cabinet.

Voir le lien du fabriquant pour prendre des images si nécéssaire

https://assets.dentsplysirona.com

Prothèses Fixes / Amovibles

La pose d’une prothèse dentaire est loin d’être un acte anodin, puisqu’il s’agit très concrètement de remplacer une ou plusieurs dents manquantes. Le problème est que les patients sont encore très mal informés des solutions existantes, des différents types de prothèses dentaires et de leurs avantages et inconvénients.

Sur Rendez-vous, nous devons étudier ensemble votre cas

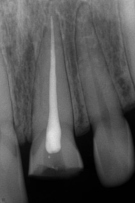
Endodontie

L’endodontie est une spécialité de chirurgie dentaire. L’endodontiste traite les maladies de l’intérieur de la dent. Le terme endodontie vient de «Endo» qui signifie intérieur» en grec et «dontie» signifiant la «dent». L’endodontie consiste en la prévention, le diagnostic et le traitement des maladies de la pulpe et du péri-apex (desmodonte et os alvéolaire). Elle sert à transformer une dent pathologique en dent saine, sans symptôme et fonctionnelle.

Le traitement endodontique ou canalaire a pour but de préserver les dents naturelles et à éviter les implants et les prothèses.

endodontie photo