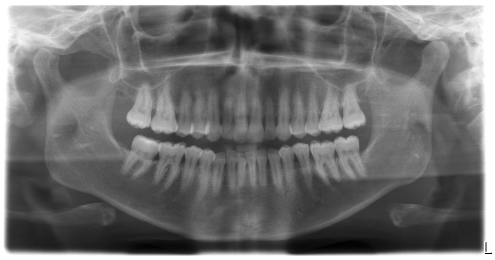
Imagerie Médicale de Pointe (Panoramique numérique-3D)

Notre système de radiologie au cabinet permet de faire, sur place, la radiographie panoramique numérisée indispensable pour vos contrôles ou bilan dentaire.

Nous disposons également de l’option 3D Cône Beam équivalent en qualité à un scanner mais beaucoup moins irradiant. Ces images permettent de nombreuses explorations

  • Recherche de foyers infectieux ou kystes
  • Recherche de canaux atypiques pour les traitements endodontiques (dévitalisation)
  • Visualisation des impératifs anatomiques pour les dents de sagesses
  • Planification de la position des implants dentaires

Le Cone Beam est considéré comme ayant été un progrès important pour l’imagerie médicaleUtilisant un faisceau conique de rayons X, il permet un examen performant des tissus minéralisés , mettant en évidence avec une excellente précision des lésions osseuses, fractures, infections, kystes et corps étrangers. En dentisterie, il permet la planification du positionnement des implants afin d’éviter les obstacles anatomiques.

Ces examens sont pris en charge par la sécurité sociale (excepté pour les implants dentaires).