Parodontologie

Parodontite

Au sain de notre cabinet vous aurez la possibilité d’une prise en charge globale de votre problème de déchaussement dentaire ( parodontite). Du simple assainissement parodontal ( surfaçage radiculaire) aux techniques les plus avancées de greffes de gencives ou osseuses, nous pouvons traiter et sauver vos dents.
Composite : le traitement d’une carie peut se faire à l’aide d’un matériau de la même teinte que la dent: le composite
L’amalgame dentaire ( mélange de métal et de mercure ) n’est pas utilisé dans notre cabinet.
Si le rendu esthétique est souvent parfait, la durée de vie de ce matériau est assez réduite pour les caries importantes. Dans ce cas, il faudra opter de préférence pour l’inlay en céramique

Un solide parcours universitaire (Ancien attaché d’enseignement de la Faculté de chirurgie dentaire de Nice) , de nombreuses formations continues et 25 ans d’expérience en parodontologie nous permettent de prendre en charge complète de vos problèmes de déchaussement dentaire.

Un bilan parodontal suivi d’un surfaçage radiculaire seront réalisés en première intention pour stabiliser le problème.

D’autres interventions chirurgicales pourront être envisagées comme les greffes osseuses ou de gencive.

Gingivite

La Gingivite
La gingivite est une inflammation des gencives.

Quels sont les signes cliniques de la gingivite ? La gencive gonfle, devient rouge, lisse et brillante. Souvent douloureuse, elle saigne au moindre contact (au brossage ou en croquant une pomme). Il lui arrive même de saigner spontanément.

Pour traiter la gingivite il faut éliminer la plaque dentaire grâce à un brossage efficace. Le plus souvent bénigne et facile à traiter, la gingivite est réversible si la plaque dentaire est éliminée grâce à un brossage efficace.

Lorsque le tartre est présent, il maintient l’inflammation et doit être éliminé lors d’une séance de détartrage.  Le tartre est un irritant local qui maintient l’inflammation et
doit être éliminé lors d’une séance de détartrage.

Certains facteurs rendent le brossage difficile et favorisent l’accumulation de la plaque.

Des dents en mauvaise position, des anciens plombages ou anciennes prothèses usées… D’autres facteurs plus généraux parmi lesquels le diabète, les
changements hormonaux tels que la puberté et la grossesse, l’ingestion de certains médicaments ou le tabac peuvent favoriser la gingivite.

Soyez vigilants si vous observez des changements au niveau de vos gencives !
Lorsque la gingivite n’est pas traitée, elle évolue en altérant les tissus de soutien de la dent.

On parle alors de parodontite

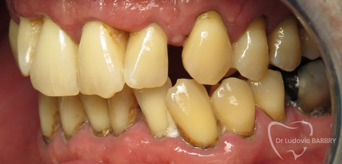
Récession gingivale

Récession gingivale

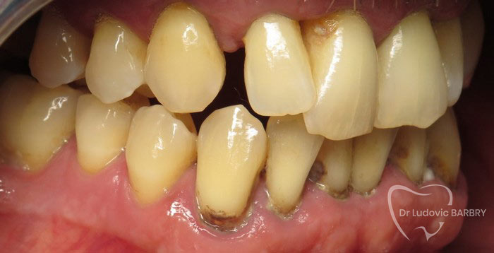
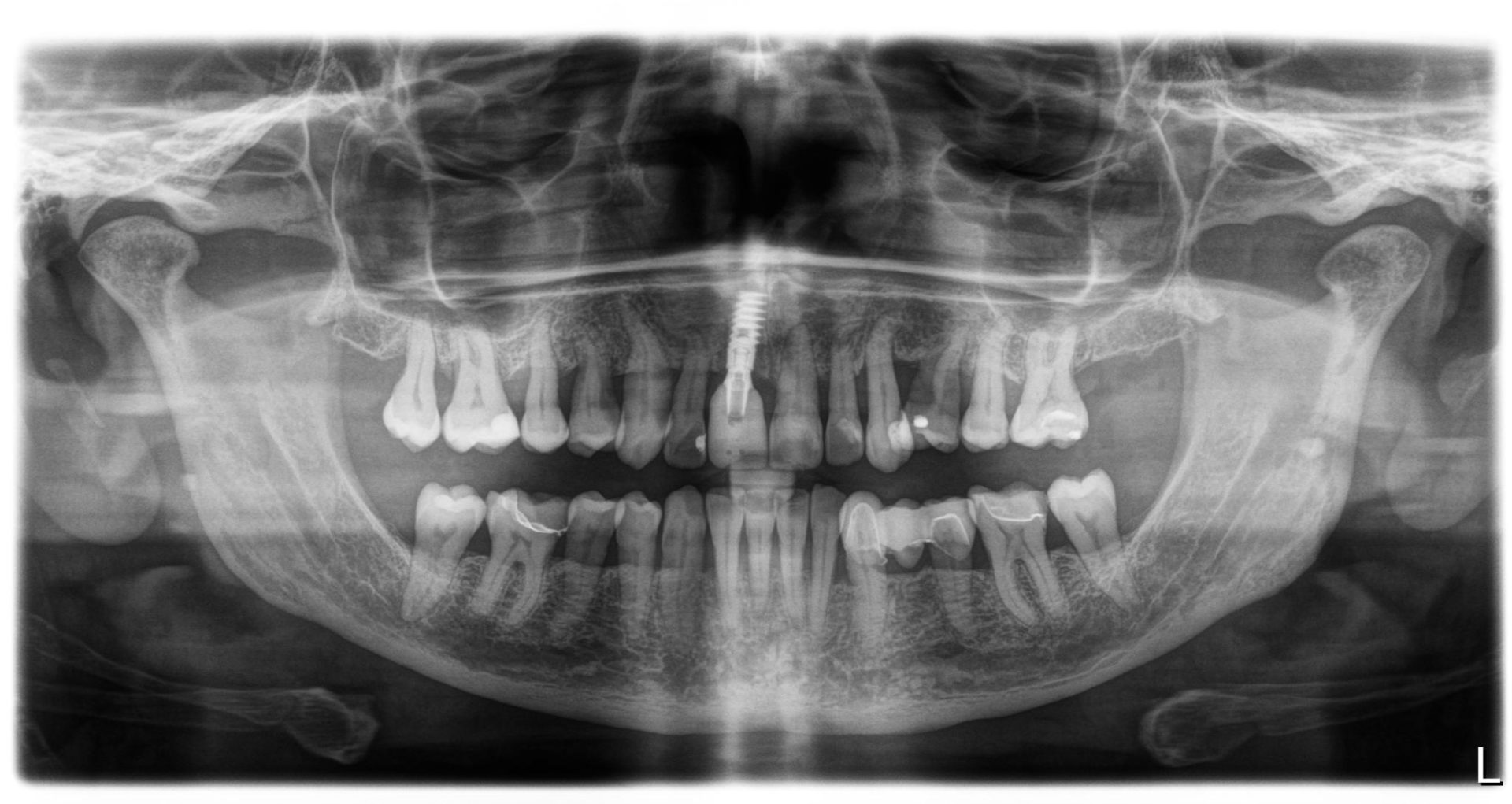
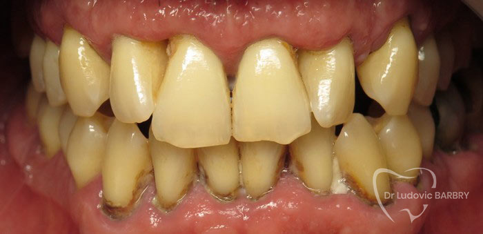
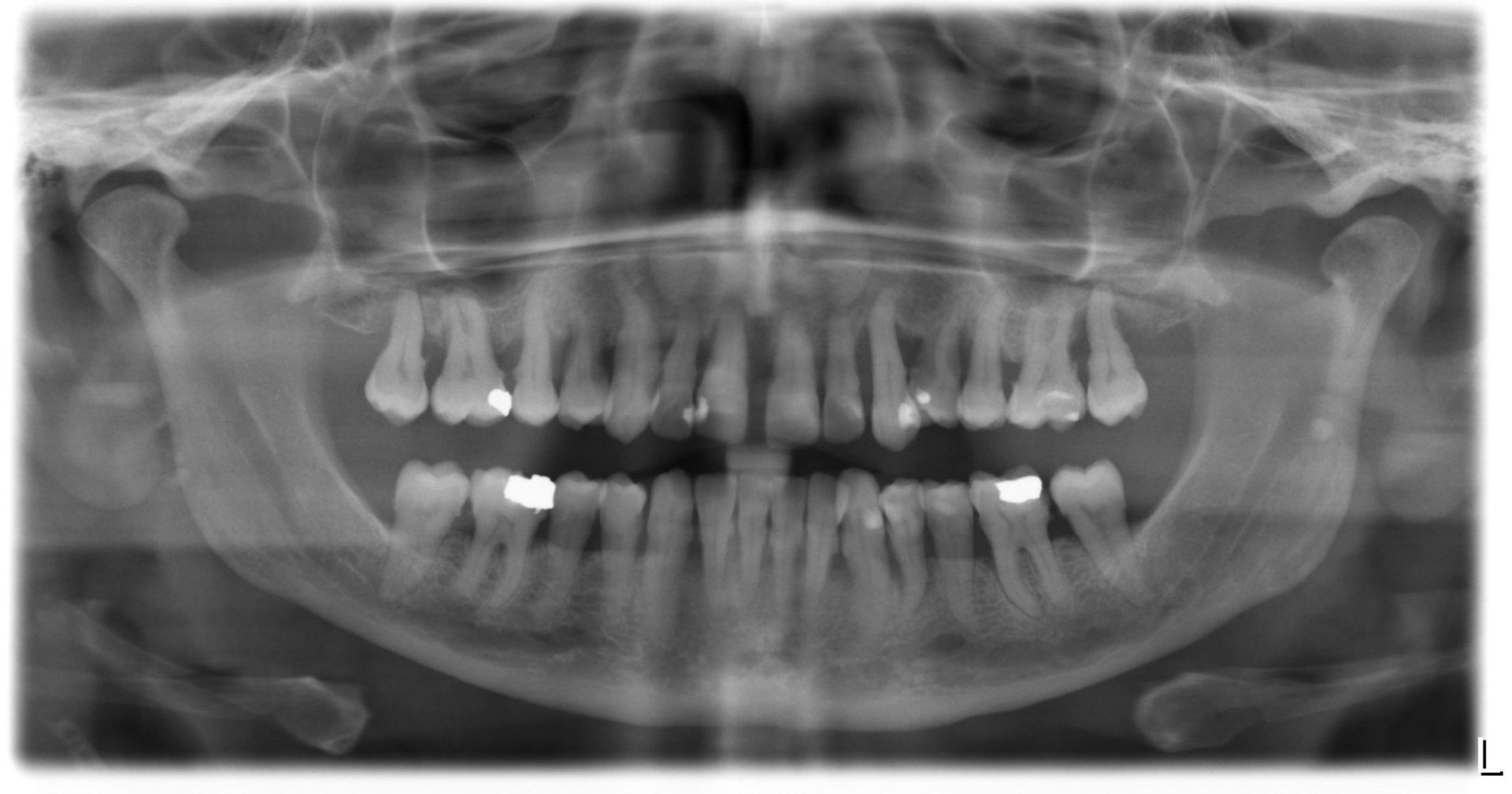
Parodontie Sévère

Grosse perte osseuse visible sur
la radio   on pourrait avec un stylet marquer en 2 couleurs le niveau osseux
actuel et normal

avant traitement

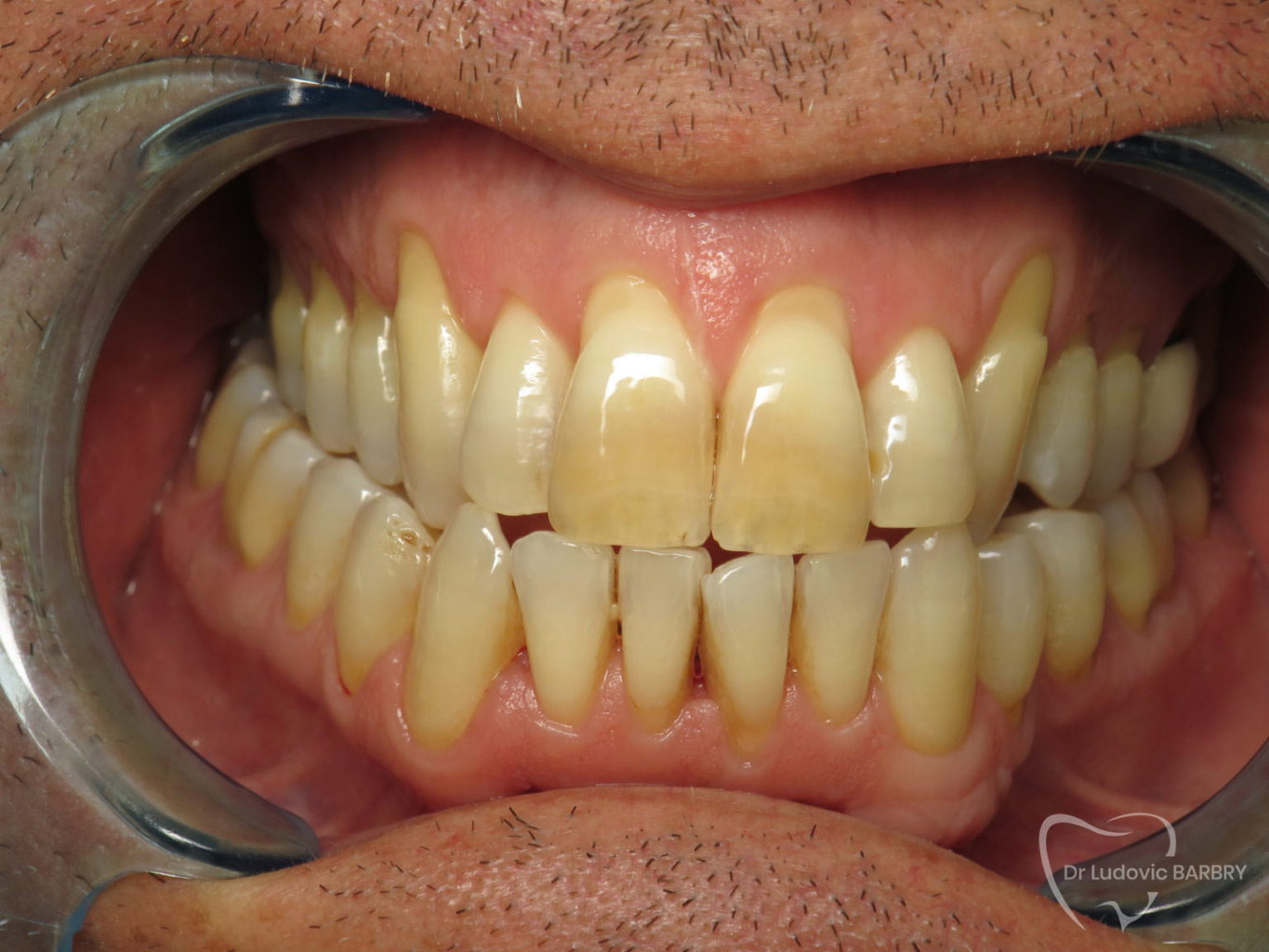
fin de traitement paro