Pathologies Dentaires

L’hypersensibilité dentaire

Elle est aussi douloureuse qu’une carie
Vous grimacez en mangeant une glace. Vous devez vous brossez les dents à l’eau tiède. Vous devez rester bouche fermée lorsqu’il fait froid dehors. Le contact de l’ongle ou de la brosse à dent vous provoque une douleur.

Alors, vous souffrez peut être d’hypersensibilité dentaire. Elle survient lorsque la racine et ses terminaisons nerveuses ne sont plus protégées par la gencive ou l’émail.
Prenez garde au brossage agressif. Une brosse à dent trop dure ou un dentifrice trop abrasif peuvent user vos gencives et vos dents.

Mais attention ! La sensibilité peut également être le signe d’un début de déchaussement. N’oubliez pas d’en parler à votre praticien.

Des produits existent pour diminuer ces sensibilités. Certains sont utilisés en cabinet sous forme de vernis protecteurs et désensibilisants. D’autres sont vendus en pharmacie sous forme de gel et appliqués par le patient sur les collets sensibles. Demandez-nous conseil !

hypersensibilité dentaire

Quelle-est la différence entre la plaque dentaire et le tartre ?

« Il ne faut pas confondre la plaque dentaire et le tartre. Il ne peut pas y avoir de tartre sans plaque dentaire ».

La plaque dentaire  (ou plaque bactérienne) est un dépôt mou, blanchâtre qui se dépose à la surface des dents. Elle peut être éliminée grâce à la brosse à dents. Pour une meilleure élimination, la plaque dentaire quinest difficile a1 voir car blanche comme les dents, peut être mise en évidence avec un colorant appelé « Révélateur de plaque dentaire ».

Demandez-nous une ordonnance de ce produit pour améliorer votre hygiène dentaire.

Il est important de se brosser les dents au moins deux fois par jour avant que la plaque dentaire devienne nocive.

Progressivement la plaque dentaire se minéralise, en incorporant des sels de phosphate de calcium de la salive. Ceci donne naissance au tartre.

 

Le tartre n’est pas naturellement coloré. Son état de surface favorise également l’accumulation des colorations inesthétiques de café, tabac, thé etc…

Seul votre chirurgien-dentiste pourra éliminer le tartre grâce au détartrage et de même, supprimer les coloration grâce à un aéropolissage.

HYDRO POLISSAGE - Plaque DENTAIRE - PROPHYLAXIE

Qu'est-ce que la plaque dentaire ?

C’est un dépôt mou, blanchâtre qui se dépose à la surface des dents et des gencives.
Elle peut être éliminée grâce à la brosse à dents.

La salive dépose sur les dents une pellicule qui permet aux bactéries de la cavité buccale et de l’alimentation de s’agglutiner et de se développer.

En se nourrissant de débris alimentaires, ces bactéries se multiplient et produisent des déchets. Bactéries + déchets + débris alimentaires forment la plaque dentaire. En quelques heures, la plaque dentaire « mûrit » et devient nocive pour les gencives et les dents. Il est important de se brosser les dents au moins deux fois par jour avant que la plaque dentaire ne devienne active.
Le tartre est un durcissement de la plaque dentaire qui n’a pas été éliminée au brossage. Seul votre dentiste pourra l’éliminer grâce au détartrage.

Comment agit la plaque dentaire bactérienne ou plaque dentaire ?

Certaines bactéries présentes dans la plaque dentaire dites « cariogènes » sont responsables de la formation de la carie dentaire.
Elles adhèrent aux surfaces dentaires, dégradent les sucres présents dans l’alimentation pour former des acides qui attaquent et déminéralisent l’émail.

D’autres bactéries fabriquent et libèrent des toxines et des enzymes responsables des maladies des tissus qui soutiennent les dents ; les maladies parodontales.
Ces maladies infectieuses peuvent affecter la gencive, on parle de gingivite.
Elles sont le plus souvent bénignes et faciles à traiter.

Elles peuvent également atteindre les tissus qui soutiennent la dent ; on parle de parodontite

Le Tartre

C’est un durcissement de la plaque dentaire qui n’a pas été éliminée au brossage.
Seul votre dentiste pourra l’éliminer grâce au détartrage.
Comment se forme le tartre ?
Si la plaque dentaire n’est pas éliminée régulièrement au brossage, elle se transforme en tartre grâce à la présence de sels minéraux présents dans la salive.
Sa surface rugueuse favorise le développement de la plaque bactérienne qui se calcifie à son tour.
Ce qui explique l’accumulation régulière du dépôt de tartre.
Elle favorise également l’accumulation des
colorations inesthétiques du café, thé, tabac…

Seul le détartrage permet d’éliminer le tartre.

Il est conseillé de réaliser un détartrage au moins une fois par an.
Pour certains patients le détartrage devra être plus fréquent car la plaque dentaire, parfois difficile à éliminer au brossage, se transforme
inévitablement en tartre.

Si la plaque dentaire n’est pas éliminée régulièrement au brossage, elle se transforme en tartre grâce aux sels minéraux présents dans la salive.

La surface rugueuse du tartre favorise le développement de la plaque bactérienne qui se calcifie à son tour. Ce qui explique l’accumulation régulière du dépôt tartrique.

Il ne faut pas confondre les colorations des dents, liées au tabac, thé, café…Elles sont éliminées avec un simple polissage.

Le tartre n’est pas naturellement coloré. Son état de surface favorise également l’accumulation des colorations inesthétiques du café, thé, tabac…

Le Bruxisme ou Grincement des dents.

Le bruxisme désigne la manie involontaire de grincer ou de serrer des dents pendant la journée et / ou le sommeil.
L’occlusion dentaire étudie le contact entre les dents des maxillaires supérieur et inférieur. La manière dont les dents s’emboîtent et glissent les unes sur les autres est importante pour assurer un bon équilibre articulaire de la mâchoire.
Le bruxisme ou bruxomanie est le terme savant pour désigner le  »grincement des dents ». Il touche 5 à 6 % de la population française. C’est une contracture inconsciente qui a lieu la nuit, le jour, des muscles élévateurs de la mâchoire inférieure, pouvant se produire aussi bien chez l’enfant que chez l’adulte. Le serrement des dents peut être responsable d’une usure prématurée des dents.

Le bruxisme peut provenir :

– d’un trouble de l’occlusion dentaire, mauvais contact entre les dents.

– du stress et de l’anxiété. Il arrive à tout le monde de serrer les mâchoires mais l’importance du grincement augmente en fonction de l’importance du stress.

Le bruxisme peut également être responsable de douleurs musculaires, maux de tête, et bourdonnements d’oreilles.

Quel sera le traitement? Il est difficile de stopper le bruxisme mais le port d’une gouttière en résine qui s’interpose entre les deux arcades dentaires évite l’usure prématurée des dents.

La gouttière est discrète et se porte généralement pendant le sommeil.L’absence de contact direct entre les dents permet d’obtenir la plupart du temps un relâchement musculaire, soulager les articulations et diminuer le grincement des dents.

« Si vous avez l’impression d’avoir les mâchoires serrées, des maux de têtes inexpliqués ou des bourdonnements d’oreille, n’hésitez pas à nous en parler ».

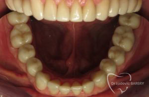
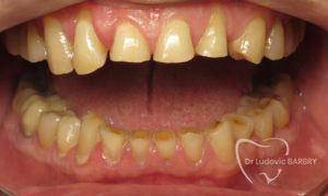
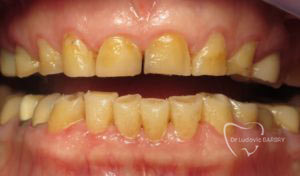
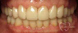
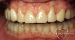
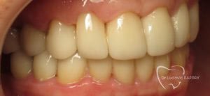
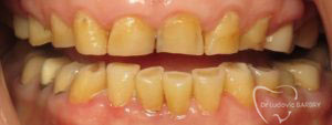
Bruxisme exemple N° 1

Avant

Après

Avant

Avant

Après

Après

Bruxisme, un autre cas

Avant

Avant

Avant

Après

Après

Après

Pour la prophylaxie - L'aéropolisseur Air-Flow